Contact
4902 Main Street, Suite A
Shallotte NC, 28470
Phone: (910) 754.8289
Fax: (910) 755.3421
Click Here to Email Us
A Reason To Smile.............
A winning smile has many benefits and shows that you are confident in your dental health. Restoring diseased and damaged teeth, proper alignment of the jaw and replacement of missing teeth all work together to improve your smile and overall health.
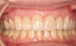
Ceramic Veneers
Ceramic Veneers are the best and longest lasting treatment to whiten and improve the overall look of a patient’s smile. Below are two examples of the typical outcome of Dr. Rupp’s Ceramic Veneer treatment.
Case #1: Ceramic Veneers Before Treatment. |
Case #1: Ceramic Veneers After Treatment. |
|---|---|
![]() |
![]() |
Case #2: Ceramic Veneers Before Treatment |
Case #2: Ceramic Veneers After Treatment |
![]() |
![]() |
Bonded Resin Fillings
This procedure can be utilized to replace decayed or discolored areas and leave your teeth with a natural and healthy looking smile.
Before Resin Bonding Treatment |
After Resin Bonding Treatment |
|---|---|
![]() |
![]() |
Tooth Whitening
Through a home bleaching system, Dr Rupp is able to improve the whiteness of a patient’s smile up to 4 shade values. This procedure is used to whiten a patient’s smile that may have become discolored as a result of age or due to drinking liquids such as coffee, tea or red wine.
Fixed Crown and Bridge
These procedures are utilized to replace missing teeth or teeth that are badly broken down or have large, weak and unsightly silver fillings.
Case #1: Crown and Bridge Before Treatment |
Case #1: Crown and Bridge After Treatment |
|---|---|
![]() |
![]() |
Case #2: Crown and Bridge Before Treatment |
Case #2: After Crown and Bridge Treatment |
![]() |
![]() |
Advanced Reconstructive Treatment
These services are performed with those patients that have very demanding dental needs. The treatment is used to help replace multiple missing teeth or realign a patient's bite or smile. These services require Crown and Bridge treatment along with Removable Prosthetics and possibly Dental Implants.
Case #1: Before Advanced Reconstructive Treatment |
Case #1: After Advanced Reconstructive Treatment |
|---|---|
![]() |
![]() |
Case #2: Before Advanced Reconstructive Treatment |
Case #2: After Advanced Reconstructive Treatment |
![]() |
![]() |
Implant Services
Dr. Rupp has been placing and restoring implants for over 18 years. Implants are used to replace a single missing tooth or in some cases to replace several missing teeth. By providing this service to his patients Dr. Rupp sees the restoration process from beginning to end without referral to an outside specialist.















